· Felipe Vengoechea · biologia-fungi
Esporas Sexuales: Por Qué el Sexo Fúngico Vale el Costo Energético
La reproducción sexual en hongos es lenta y costosa, pero genera diversidad genética crucial. Descubre los diferentes tipos de esporas sexuales y por qué evolucionaron.

El Dilema del Sexo Fúngico
Imagina que eres un hongo. Puedes reproducirte asexualmente produciendo millones de esporas clones en días—rápido, eficiente, garantizado. O puedes buscar una pareja compatible, fusionar células, pasar por meiosis compleja, y producir esporas sexuales que tardan semanas en madurar.
¿Por qué elegir la vía sexual si es 10x más lenta y energéticamente costosa?
La respuesta: diversidad genética.
Las esporas sexuales mezclan genes de dos progenitores, creando combinaciones únicas que permiten adaptación a ambientes cambiantes, resistencia a enfermedades, y evolución continua.
Sin reproducción sexual, los hongos serían clones inmóviles incapaces de adaptarse. Con ella, han colonizado prácticamente cada ecosistema terrestre.

Qué Son las Esporas Sexuales
Definición: Células reproductivas formadas por meiosis (división celular que reduce cromosomas a la mitad) tras la fusión de dos células parentales compatibles.
Características clave:
- Contienen genes mezclados de dos progenitores
- Genéticamente únicas (no clones)
- Generalmente más resistentes que esporas asexuales
- Tardan más tiempo en formarse
- Requieren condiciones específicas para producirse
Función principal: Generar variabilidad genética que permite:
- Adaptación a nuevas condiciones
- Resistencia a patógenos/parásitos
- Colonización de nichos diversos
- Evolución de nuevas especies
Tipos Principales de Esporas Sexuales
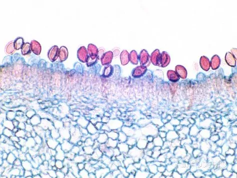
1. Basidiosporas (Hongos de Sombrero y Repisa)
Producidas por: Basidiomicetos—incluyen champiñones, setas, hongos de repisa, puffballs
Dónde se forman: En basidios (estructuras en forma de club) típicamente en láminas bajo el sombrero
Cantidad: Generalmente 4 esporas por basidio (a veces 2)
Ejemplos:
- Agaricus bisporus (champiñón blanco comercial)
- Pleurotus ostreatus (seta ostra)
- Amanita muscaria (hongo venenoso icónico)
- Ganoderma lucidum (reishi medicinal)
- Psilocybe cubensis (hongo psilocibio)
Datos:
- Un champiñón mediano produce 16 mil millones de basidiosporas en su vida
- Un puffball gigante (Calvatia gigantea) puede producir 7 billones de basidiosporas
Mecanismo de lanzamiento: Catapulta de gota de Buller—lanza cada espora a ~1 m/s usando tensión superficial.

2. Ascósporas (Hongos de Saco)
Producidas por: Ascomicetos—incluyen levaduras, mohos, trufas, morillas
Dónde se forman: En ascos (estructuras en forma de saco)
Cantidad: Típicamente 8 ascósporas por asco (a veces 4, 16, o 32)
Ejemplos:
- Saccharomyces cerevisiae (levadura de pan/cerveza)
- Tuber melanosporum (trufa negra—vale $3,000+/kilo)
- Morchella esculenta (morilla comestible)
- Penicillium roqueforti (queso azul)
- Neurospora crassa (modelo de laboratorio para genética)
Datos:
- Algunos ascos lanzan ascósporas a velocidades de 100+ km/h
- Distancia de lanzamiento: hasta 30 cm (enorme para una célula de 10 micrómetros)
Ventaja: El lanzamiento activo permite dispersión incluso sin viento.
3. Oosporas (Oomicetos—No Hongos Verdaderos)
Producidas por: Oomicetos (relacionados con algas, no hongos—pero se incluyen históricamente)
Dónde se forman: Por fusión de oogonio (célula huevo) con anteridio (célula espermática)
Resistencia: Extremadamente altas—pared gruesa multicapa
Ejemplos:
- Phytophthora infestans (tizón de papa—Causó Gran Hambruna Irlandesa)
- Pythium (pudrición de raíces en plántulas)
- Albugo (roya blanca en vegetales)
Datos:
- Pueden sobrevivir en suelo 10-40 años
- Germinan solo cuando detectan químicos de plantas huésped específicas
- Responsables de $6 mil millones en pérdidas agrícolas anuales
4. Zigosporas (Hongos de Pan Mohoso)
Producidas por: Zigomicetos (Mucor, Rhizopus)
Dónde se forman: Por fusión de dos gametangios (estructuras sexuales) de cepas compatibles (+/-)
Apariencia: Esporas grandes (100-200 micrómetros), negras, de pared gruesa con ornamentación
Función: Principalmente supervivencia (no dispersión)—esperan condiciones favorables antes de germinar
Ejemplos:
- Rhizopus stolonifer (moho negro del pan)
- Mucor racemosus
Rareza: Zigosporas son difíciles de observar—muchas especies de Rhizopus no las forman en cultivo, solo en naturaleza cuando encuentran cepa compatible.
5. Teliosporas (Royas y Carbones)
Producidas por: Hongos del grupo Basidiomycota—específicamente royas (Puccinia) y carbones (Ustilago)
Función: Esporas de resistencia que sobreviven invierno
Características: Pared muy gruesa, pigmentadas (negras/marrones), latentes durante meses
Ejemplos:
- Puccinia graminis (roya del trigo)—teliosporas sobreviven invierno, germinan en primavera produciendo basidiosporas
- Ustilago maydis (carbón del maíz)—teliosporas infectan maíz dulce, causando tumores comestibles (huitlacoche)
Cómo se Forman: El Proceso Sexual
El proceso varía según el tipo de hongo, pero sigue un patrón general:
Paso 1: Plasmogamia (Fusión de citoplasma)
Dos células haploides compatibles (n cromosomas) se fusionan. Sus citoplasmas se mezclan pero los núcleos permanecen separados—estado dicariótico (n+n).
Paso 2: Cariogamia (Fusión de núcleos)
Eventualmente, los dos núcleos se fusionan formando célula diploide (2n cromosomas). En basidiomicetos esto ocurre en basidios; en ascomicetos en ascos.
Paso 3: Meiosis (Reducción de cromosomas)
La célula diploide pasa por meiosis—dos divisiones celulares que:
- Mezclan genes mediante recombinación (crossover)
- Reducen cromosomas de 2n -> n
- Producen 4 células haploides genéticamente únicas
Paso 4: Mitosis adicional (opcional)
En algunos hongos (ej. ascomicetos), las 4 células pasan por mitosis adicional produciendo 8 esporas por asco.
Paso 5: Maduración y Liberación
Esporas desarrollan paredes protectoras, acumulan nutrientes de reserva, y son liberadas (activa o pasivamente) al ambiente.

Ventajas de la Reproducción Sexual
1. Variabilidad genética = Adaptabilidad
Cada espora sexual es genéticamente única. Si el ambiente cambia (nueva enfermedad, cambio climático, nuevo competidor), algunas esporas tendrán combinaciones genéticas que les permiten sobrevivir.
Ejemplo: Resistencia a fungicidas en Phytophthora—Cuando cepas resistentes se cruzan sexualmente, producen oosporas con resistencias combinadas, haciendo control químico inútil.
2. Reparación de Mutaciones Dañinas
La reproducción asexual acumula mutaciones deletáreas (trinquete de Muller). La sexual permite eliminarlas mediante recombinación.
3. Resistencia Mejorada
Muchas esporas sexuales tienen paredes más gruesas y mayor resistencia que esporas asexuales.
Comparación:
- Conidiosporas (asexual): sobreviven semanas-meses
- Oosporas (sexual): sobreviven décadas
4. Colonización de Nuevos Nichos
Variabilidad permite que algunas esporas colonicen nichos donde el progenitor no podría crecer.
Costos de la Reproducción Sexual
Tiempo: 10-100x más lento que reproducción asexual
Energía: Formar cuerpos fructíferos (setas, trufas) requiere enorme cantidad de recursos
Búsqueda de pareja: Requiere encontrar cepa compatible (en hongos heterotálicos)
Dilución genética: Si tienes genes perfectos para tu ambiente, el sexo los mezcla (potencialmente empeorándolos)
Entonces, ¿Por qué evolucionó? Porque ambientes cambian constantemente—la flexibilidad supera los costos a largo plazo.
Estrategias Mixtas: Lo Mejor de Ambos
Muchos hongos usan ambas estrategias:
Verano/condiciones buenas: Reproducción asexual masiva (conidiosporas)—Coloniza rápido
Otoño/estrés: Reproducción sexual (basidiosporas/ascósporas)—Prepara para invierno y genera diversidad
Ejemplo: Aspergillus nidulans produce:
- Millones de conidiosporas asexuales diariamente
- Cleistotecios (cuerpos fructíferos sexuales) unas pocas veces al año cuando detecta estrés
Impacto Humano
Enfermedades: Oosporas de Phytophthora persisten en suelos agrícolas décadas, haciendo control imposible.
Alimentos: Ascósporas de levaduras permiten fermentación (pan, cerveza, vino).
Medicina: Basidiosporas de hongos medicinales (Ganoderma, Cordyceps) se cultivan para suplementos.
Evolución de resistencia: Reproducción sexual en patógenos genera cepas resistentes a antibióticos/fungicidas más rápido.
Lo Que Debes Saber
Las esporas sexuales representan la apuesta de los hongos por el futuro. Son lentas, costosas, pero generan la diversidad genética que permite:
? Sobrevivir cambios ambientales
? Evolucionar resistencias
? Colonizar nuevos nichos
? Competir exitosamente
? Persistir durante eras geológicas
Sin esporas sexuales, los hongos serían ejércitos de clones—eficientes a corto plazo, condenados a largo plazo. Con ellas, son maestros de la adaptación que han sobrevivido extinciones masivas y colonizado cada continente.
La próxima vez que veas un champiñón, recuerda: ese sombrero en tu mano libera miles de millones de apuestas genéticas hacia el futuro.
Referencias
- Heitman, J., et al. (2007). Evolution of sexual reproduction: A view from the fungal kingdom supports an evolutionary epoch with sex before sexes. Fungal Genetics and Biology, 44(5), 357-360.
- Ni, M., et al. (2011). Sex in fungi. Annual Review of Genetics, 45, 405-430.
- Lee, S. C., et al. (2010). The evolution of sex: a perspective from the fungal kingdom. Microbiology and Molecular Biology Reviews, 74(2), 298-340.



