· Felipe Vengoechea · biologia-fungi
Los cuerpos fructíferos: Explorando la esencia de la reproducción en los organismos

En el mundo de la biología, los cuerpos fructíferos son estructuras fascinantes y vitales para la reproducción de muchos organismos. Estas formaciones juegan un papel fundamental en la dispersión de esporas y la propagación de la vida en diversos ecosistemas. Desde los hongos hasta las plantas, los cuerpos fructíferos presentan una amplia variedad de formas y funciones, y su estudio nos ayuda a comprender mejor la importancia de la reproducción en la perpetuación de la vida en nuestro planeta.

Definición de cuerpos fructíferos:
Los cuerpos fructíferos son estructuras especializadas que producen y liberan esporas, las unidades reproductivas de muchos organismos. Estas estructuras suelen desarrollarse después de un proceso de maduración y crecimiento, y suelen ser más visibles que otras partes del organismo. Los cuerpos fructíferos pueden variar enormemente en forma, tamaño y apariencia, dependiendo del tipo de organismo del que provengan.
En el vasto y fascinante universo de la biología, existen estructuras diminutas pero poderosas que desempeñan roles fundamentales en la perpetuación de la vida. Una de estas estructuras son los cuerpos fructíferos. Este artículo se adentra en el mundo de los cuerpos fructíferos, explorando su definición, estructura y función, y revelando su importancia biológica y su papel en la reproducción y dispersión de esporas.
Características de los Cuerpos fructíferos en Hongos
Los hongos son organismos extraordinarios que desempeñan un papel vital en los ecosistemas de todo el mundo. Los cuerpos fructíferos de los hongos son una de las características más distintivas de estos organismos. Estas estructuras pueden variar enormemente en tamaño, forma y color, desde las pequeñas y discretas esporas de los mohos hasta las grandes y llamativas setas que podemos encontrar en nuestros bosques. Cada uno de estos cuerpos fructíferos es una obra maestra de la evolución, perfectamente adaptada a su función y entorno.
Proceso de Formación de Cuerpos fructíferos
El proceso de formación de los cuerpos fructíferos es un fenómeno biológico fascinante. En los hongos, este proceso comienza con el crecimiento del micelio, una red de filamentos que se extiende por el sustrato en el que crece el hongo. Cuando las condiciones son las adecuadas, el micelio comienza a formar los cuerpos fructíferos, que eventualmente liberarán las esporas al ambiente. Este proceso es un ejemplo impresionante de cómo los organismos pueden adaptarse y responder a su entorno.
Importancia biológica de los Cuerpos fructíferos
Los cuerpos fructíferos son de vital importancia para la reproducción y supervivencia de los hongos y algunas plantas. En los hongos, los cuerpos fructíferos permiten la producción y dispersión de esporas, que pueden viajar grandes distancias y colonizar nuevos hábitats. En las plantas, los cuerpos fructíferos contienen las semillas, que son la clave para la propagación de la especie. Estas estructuras son, por lo tanto, fundamentales para la biodiversidad y la salud de los ecosistemas de todo el mundo.
Los cuerpos fructíferos son una maravilla de la naturaleza que nos recuerda la increíble diversidad y complejidad de la vida en nuestro planeta. Al entender su definición, estructura y función, podemos apreciar aún más la importancia de estas pequeñas pero poderosas estructuras en la vida tal como la conocemos.
Diversidad de Cuerpos fructíferos en el Reino Fungi
La diversidad de los cuerpos fructíferos en el reino Fungi es asombrosa. Desde las diminutas esporas de los mohos hasta las majestuosas setas de los bosques, cada tipo de cuerpo fructífero es un testimonio de la adaptabilidad y la diversidad de la vida. Esta diversidad es el resultado de millones de años de evolución, y es un recordatorio de la increíble variedad de formas de vida que existen en nuestro planeta.
Función de los cuerpos fructíferos en la reproducción
Los cuerpos fructíferos han evolucionado a lo largo de millones de años para adaptarse a diferentes estrategias de reproducción. Algunas especies producen grandes cantidades de esporas para aumentar sus posibilidades de éxito reproductivo, mientras que otras dependen de mecanismos de dispersión específicos, como el viento, el agua, los animales o incluso las corrientes de aire generadas por los impactos de la lluvia.
Además de su papel en la reproducción, los cuerpos fructíferos también pueden tener funciones adicionales en la supervivencia de los organismos. Por ejemplo, algunos hongos forman relaciones simbióticas con las raíces de las plantas, en las que los cuerpos fructíferos facilitan la absorción de nutrientes y la protección contra patógenos.
Importancia ecológica:
Los cuerpos fructíferos desempeñan un papel fundamental en los ecosistemas, ya que contribuyen a la dispersión de esporas y, por lo tanto, a la colonización de nuevos hábitats. Además, los cuerpos fructíferos son una fuente de alimento para muchos animales, incluyendo insectos, mamíferos y aves, que se benefician de los nutrientes y la energía que proporcionan.

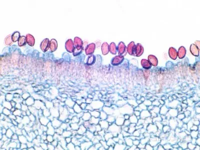
Estudio Microsc¿Pico de los Cuerpos fructíferos
El estudio microscópico de los cuerpos fructíferos nos permite apreciar su complejidad y belleza. A través del microscopio, podemos observar la intrincada estructura de estos cuerpos, desde las delicadas esporas hasta los complejos tejidos que los sostienen. Este estudio nos permite entender mejor cómo funcionan estos cuerpos y cómo contribuyen a la vida tal como la conocemos.
Conclusión:
Los cuerpos fructíferos son estructuras notables que desempeñan un papel vital en la reproducción y la supervivencia de numerosos organismos. Desde los hongos hasta las plantas, estas formaciones especializadas han evolucionado de diversas maneras para adaptarse a diferentes estrategias de dispersión y asegurar la perpetuación de la vida en la Tierra. El estudio de los cuerpos fructíferos nos permite apreciar la increíble diversidad y complejidad de los mecanismos reproductivos en el mundo natural.



